PixCell: A generative foundation model for digital histopathology images

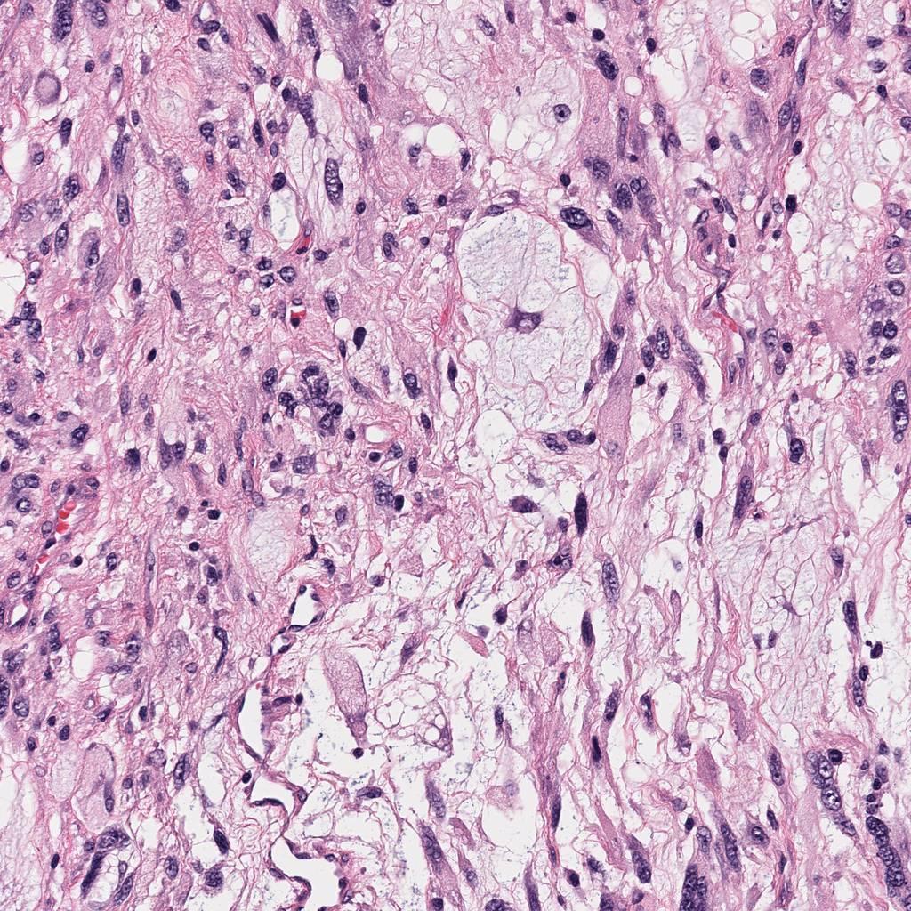
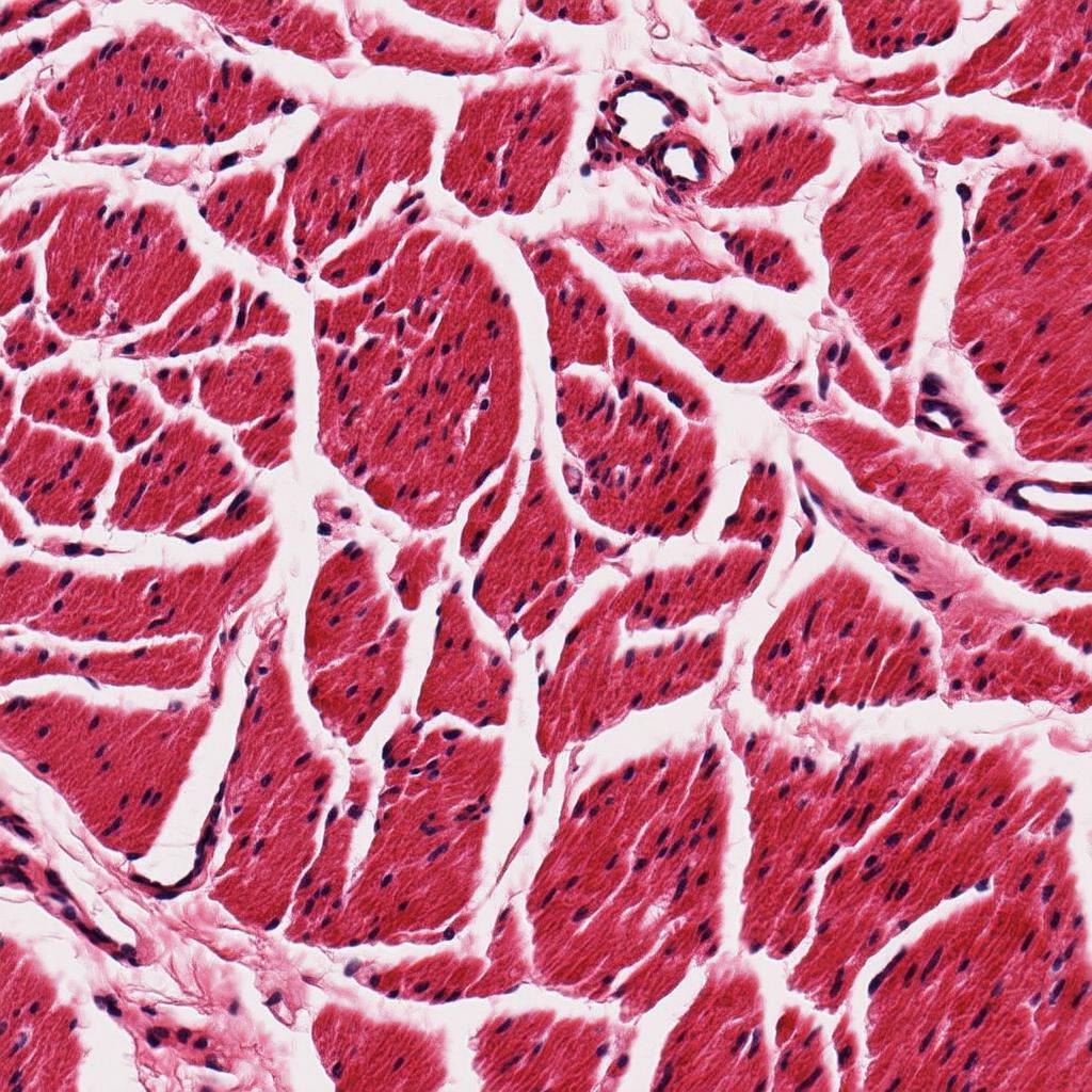
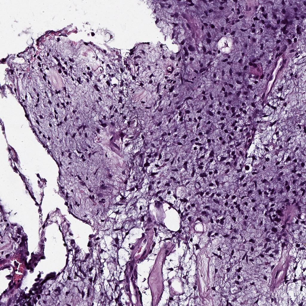
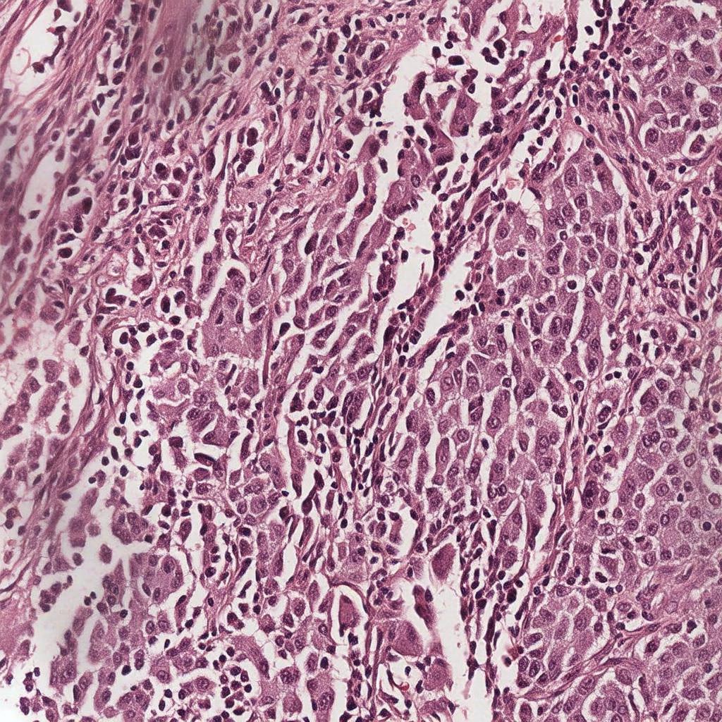
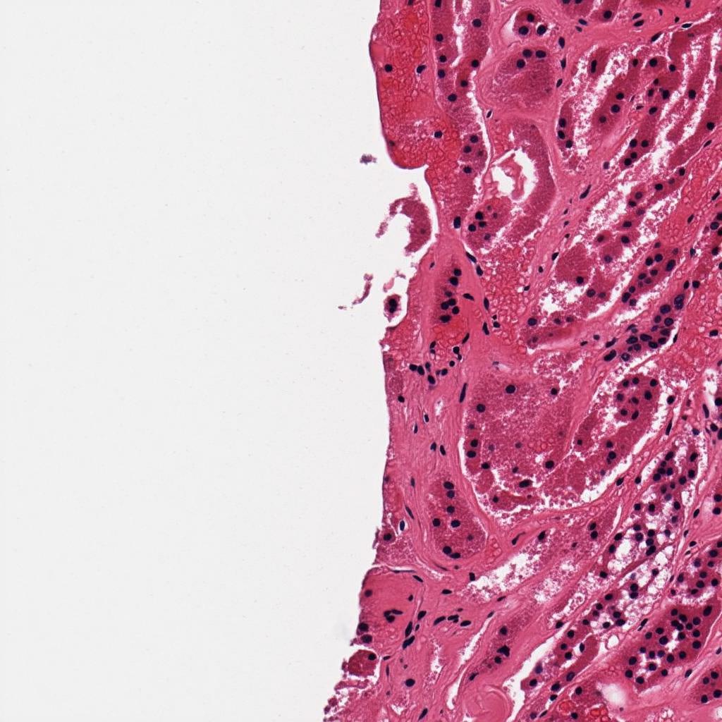
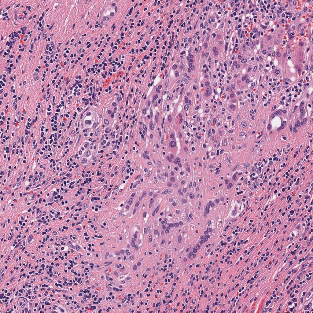
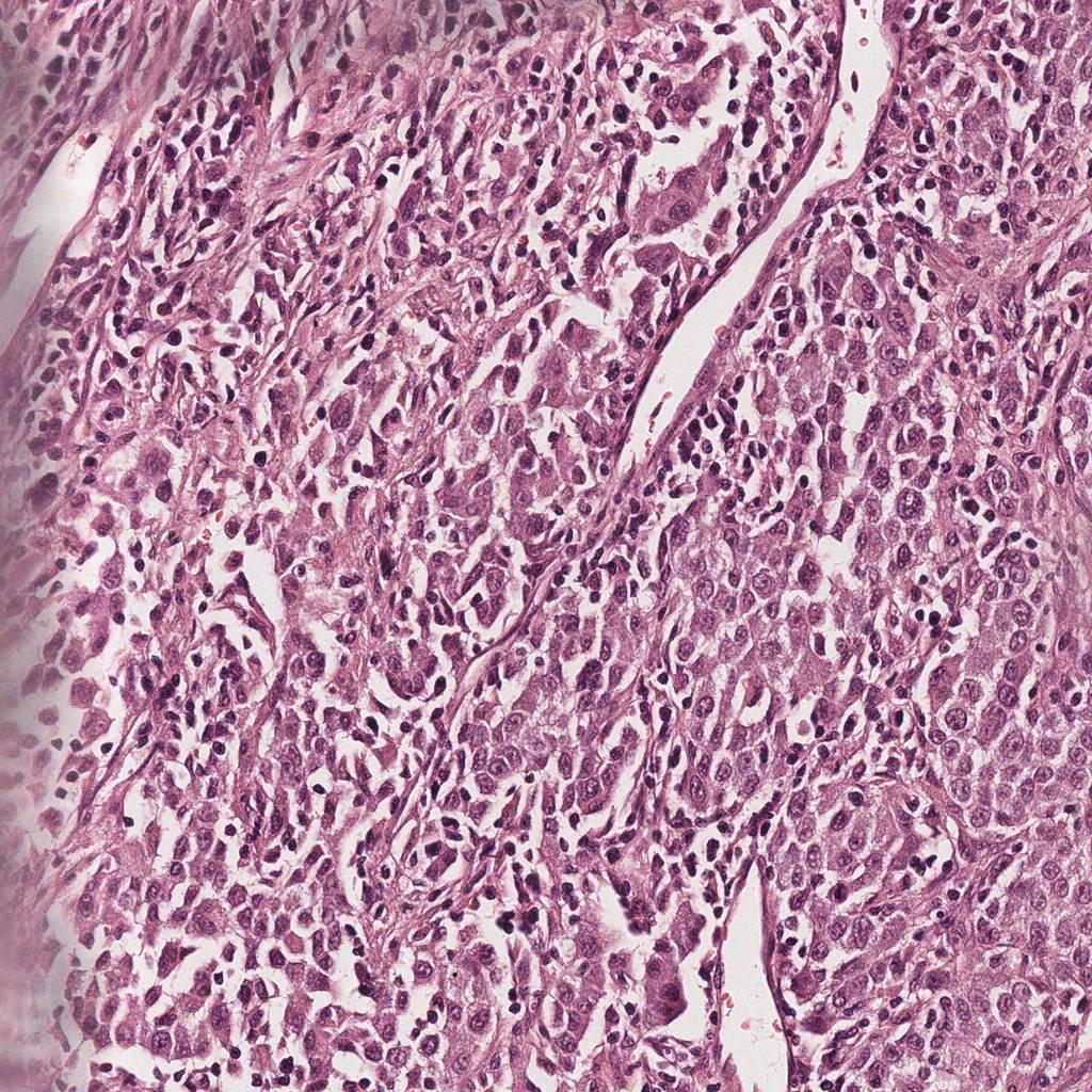
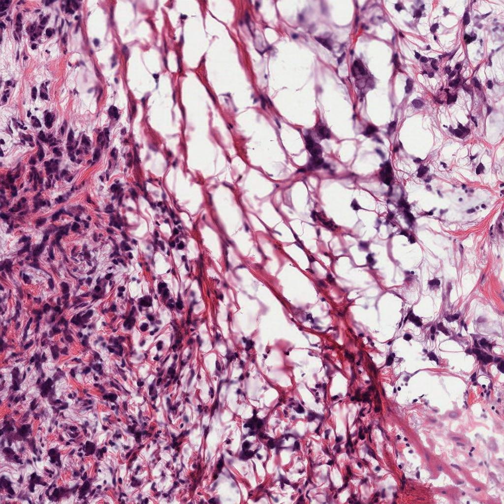
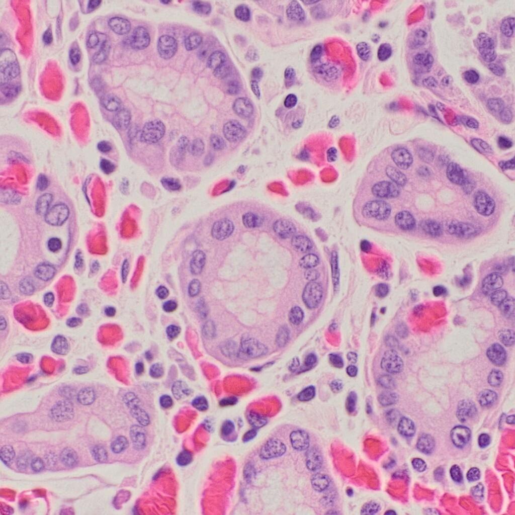
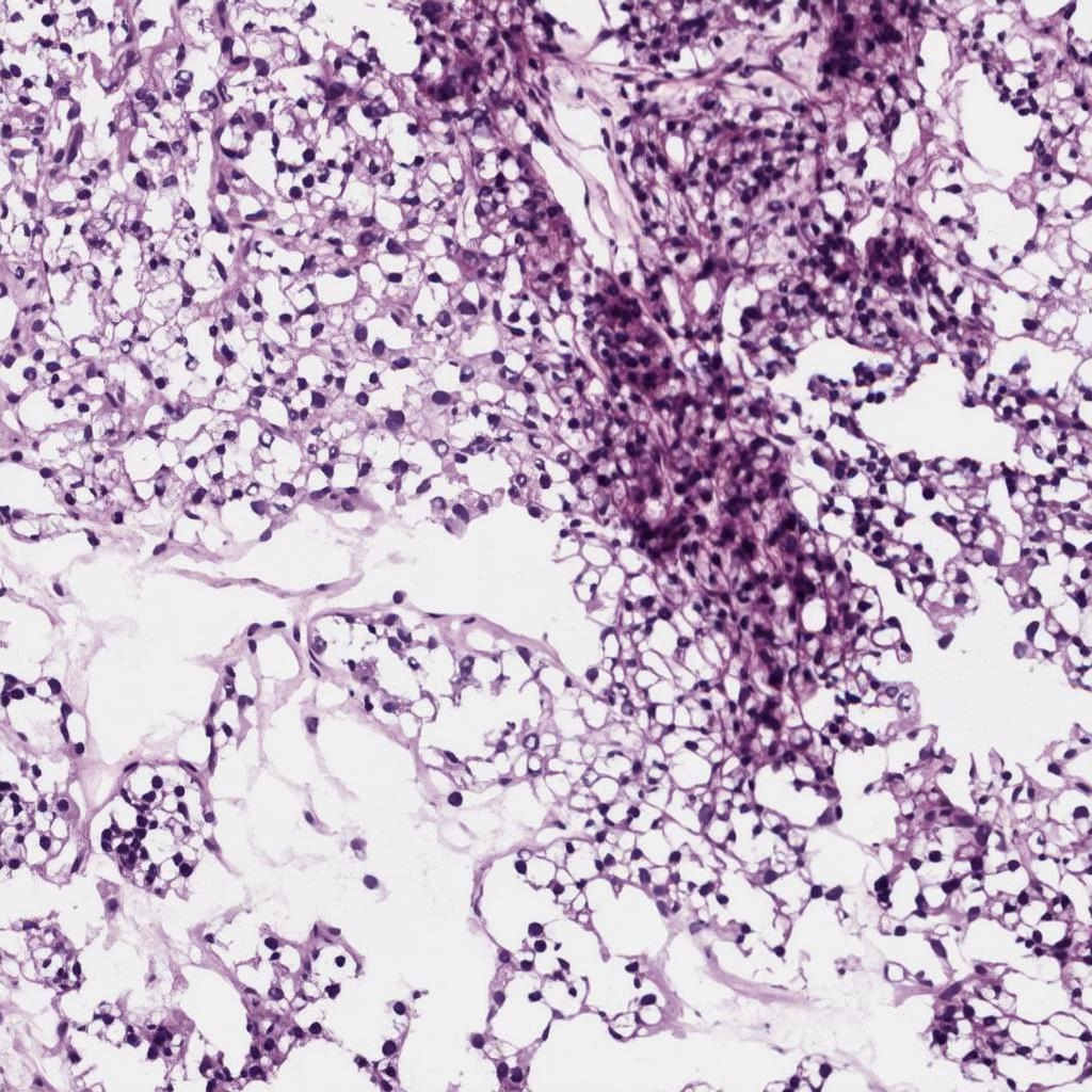
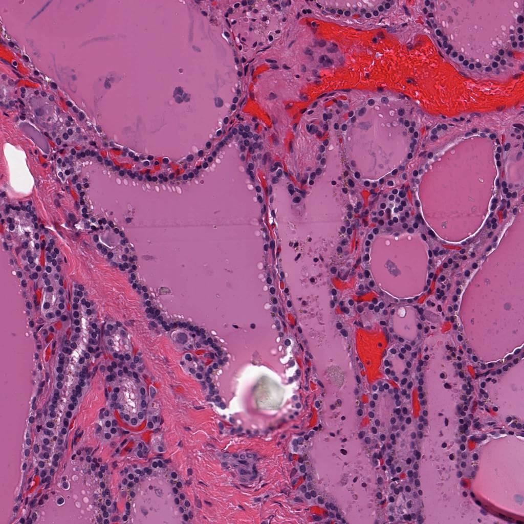
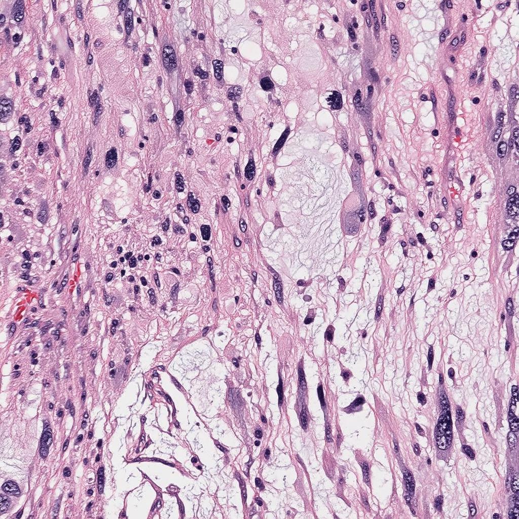
Synthetic 1024x1024 images


PanCan-30M
Synthetic 0029aa0c syn 15fd819d syn 2c1776b1 syn 41fbebf8 syn 5a48e700 syn 5c96f8e4 syn 7d7dc54e syn
Real 0029aa0c real 15fd819d real 2c1776b1 real 41fbebf8 real 5a48e700 real 5c96f8e4 real 7d7dc54e real

Synthetic 04bd4a81 syn 1bd08a01 syn 3b841f63 syn 48bdc96d syn 5b91b6e1 syn 5d99c55b syn 9d643e75 syn
Real 04bd4a81 real 1bd08a01 real 3b841f63 real 48bdc96d real 5b91b6e1 real 5d99c55b real 9d643e75 real

Synthetic 14d177e7 syn 2b050d8c syn 3f249866 syn 4d0a4a3a syn 5c8529d7 syn 7c08c271 syn 054a4902 syn
Real 14d177e7 real 2b050d8c real 3f249866 real 4d0a4a3a real 5c8529d7 real 7c08c271 real 054a4902 real